アリイ動物病院では、2025年11月よりCT検査センターを設立しました。
従来までのレントゲン検査や超音波検査に加えて、
CT画像も撮影可能になりましたので、今後は症状に応じてご活用ください。
今回は、『超音波検査』についてのお話になります。
吐き気、下痢などの症状でお悩みの際、血液検査やレントゲン検査を実施することがございます。
検査結果より、『胃腸の異常』を感知した場合に活用する検査が超音波検査になります。
実際の症例を通して、ご説明いたします。

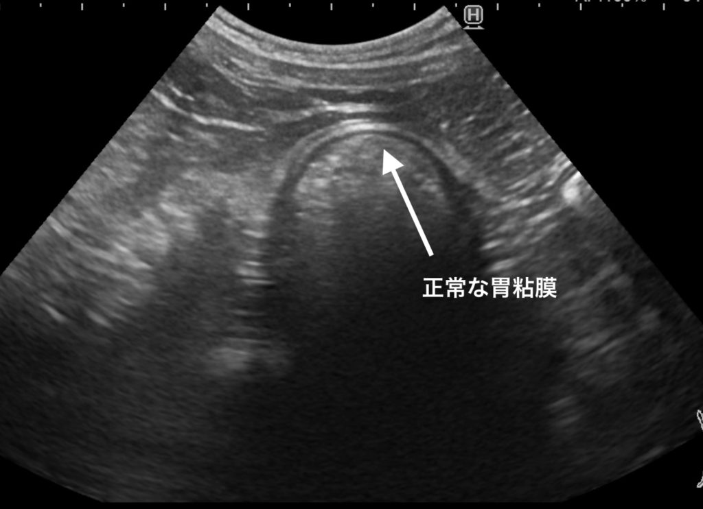
正常な胃粘膜については、薄く線状に見えることが基本になります。

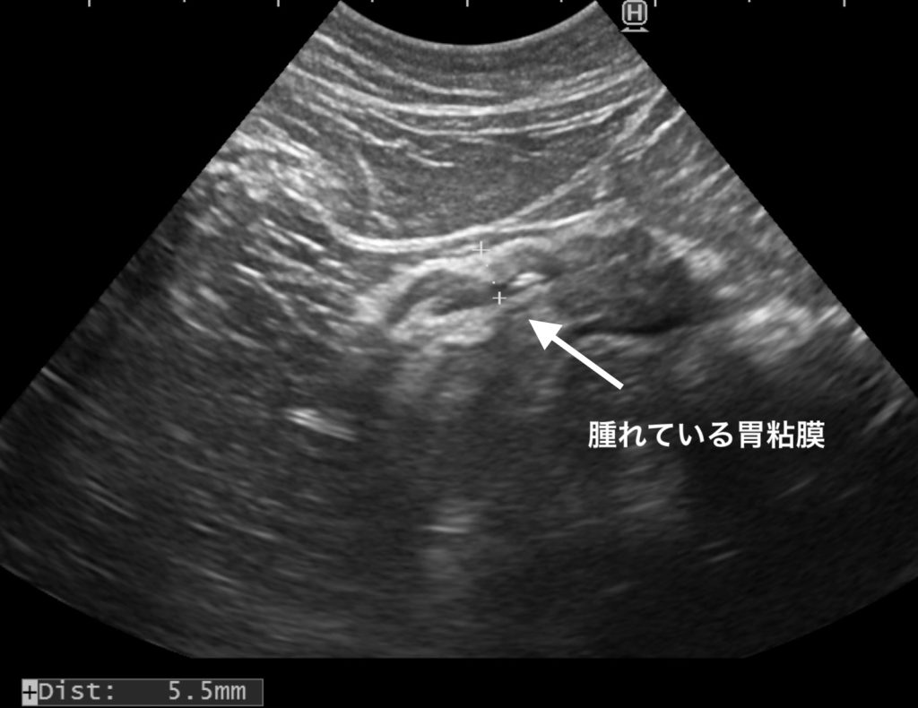
嘔吐がある場合には、胃粘膜が腫れていることが多いです。
胃粘膜の腫れ方は、さまざまなパターンがありますが、
今回ご紹介した子は、内視鏡検査にて『リンパ腫』の診断がでています。
*ダイナミックな変化ではなくても、悪性腫瘍のことがございますので、注意が必要です。

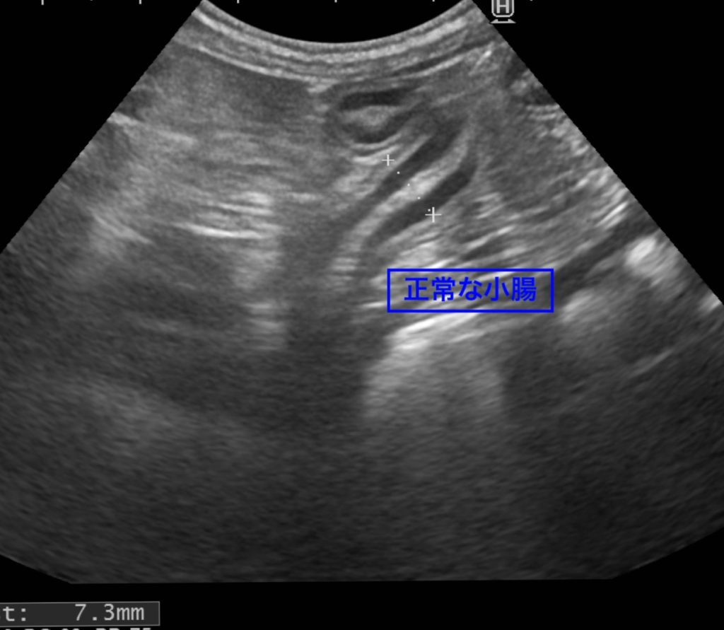
正常な小腸については、犬種による差がありますが、概ね6~7mmほどの直径のことが多いです。
白い部分に食べ物が流れ、そこを取り囲むように黒い粘膜が覆っています。

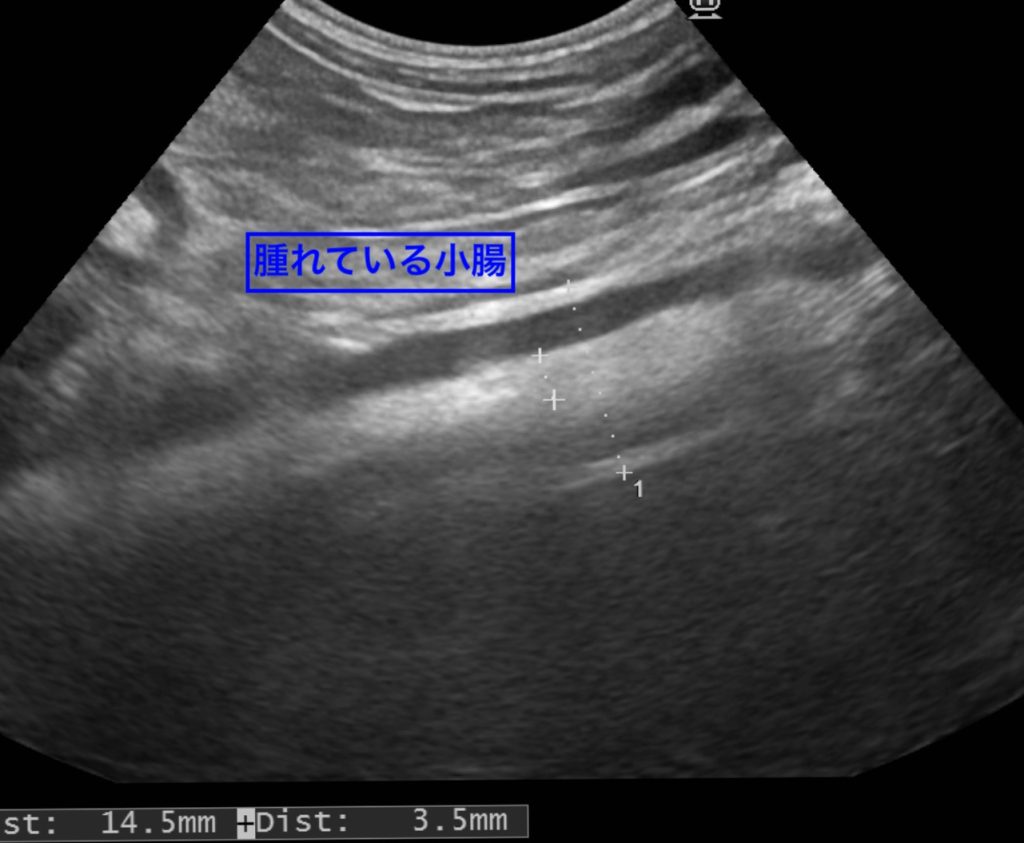
下痢がある場合には、小腸が肥厚(腫れている)していることが多いです。
炎症を伴っていることが多く、正常な小腸と比べると、内部構造を観察しにくいことが特徴です。
今回ご紹介した子は、内視鏡検査にて『炎症性腸疾患(IBD)』の診断がでています。
*正常な小腸の2倍(14.3mm)に肥厚していますが、悪性腫瘍の診断ではありませんでした。
超音波検査のメリット:詳細な評価が可能になります。
血液検査やレントゲン検査では、どこの臓器がどのような形で腫れているかは評価しにくいですが、
超音波検査では、ご案内したように詳細な評価が可能になります。
超音波検査のデメリット:腫瘍性疾患の確定診断はできません。
超音波検査では、ダイナミックな異常が認められても、その原因が腫瘍性かどうかは判断ができません。
最終的な判断は、病理組織検査が必要になりますので、全身麻酔を実施して行うことが多いです。
特に消化器疾患(嘔吐や下痢の症状)では、内視鏡検査を実施して、病気の診断をしていきます。
麻酔をかける検査は、最終判断になりますので、
繰り返しの消化器疾患でお悩みの場合には、ぜひ一度、超音波検査もご検討ください。
アリイ動物病院 院長
