今回は、慢性嘔吐についてのお話になります。
1週間に3回以上吐くことが2〜3週間以上続く状況を示します。
食欲は正常でも、吐くことが続く場合には、慢性嘔吐の可能性があります。
特に、食欲低下や体重減少を認める慢性嘔吐の場合、大きな病気の可能性がありますので、
詳しい検査が必要になることが多いです。
猫、10歳、男の子
稟告①:1年以上前から吐き始め、2ヶ月前より吐く頻度が増えてきました。
稟告②:食欲減退、体重減少も認められました。
炎症の数値(白血球数がわずかに高値)に変化を認めましたが、大きな異常は認められませんでした。
白血球数:15,800(正常6,000〜15,000)
赤血球数:925万(正常600万〜1,000万)
腎臓:BUN25.2(17.6〜32.8) CRE1.9(0.9〜2.1)
肝臓:ALP36(1〜58) ALT78(22〜84) AST37(18〜51)
膵臓:25(正常1〜30)
*胃の病変は、血液検査での異常が認められないことが多いです。
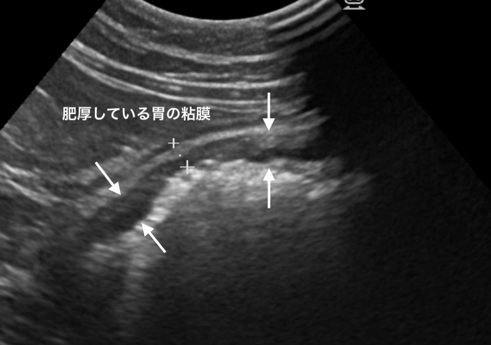
胃の粘膜が肥厚し、一部にポリープ状のものが認められました。


超音波検査と同様、胃の粘膜が腫大し、一部にポリープ(炎症性変化)が認められました。
胃粘膜を採取し、病理組織検査を実施しました。


*超音波検査所見での異常よりも内視鏡検査所見の方が異常を見つけやすいことが特徴です。
診断結果は悪性腫瘍であるリンパ腫であったため、今後は抗がん剤治療がメインになります。
今回のような高分化型リンパ腫の場合には、悪性度が低いため、
『副作用が出やすい抗がん剤』ではなく、『副作用が少ない抗がん剤』でも治療が可能になります。
副作用が少ないということは、抗がん剤としての力が弱いものが多いですが、
動物たちの負担を軽減しつつ、治療プランを立てることも大切だと考えております。
慢性嘔吐(リンパ腫の場合も含みます)の治療でお悩みの場合には、お気軽にご相談ください。
アリイ動物病院 院長
